Carcinoma cromófobo renal: reporte de un caso poco frecuente con hallazgos citológicos
Introducción:
El carcinoma cromófobo es un raro subtipo de carcinoma renal que representa la forma más común de carcinoma en mujeres jóvenes con un promedio de edad de 59 años (rango 17-92).1 Su identificación es fundamental y debe diferenciarse principalmente del carcinoma de células claras eosinofílico y del oncocitoma renal, entidades con tratamiento y pronóstico distinto.2 Aunque el diagnóstico tradicional es histológico luego de una resección quirúrgica, la citología por impronta puede ser de ayuda para tomar decisiones rápidas.
Presentación del caso:
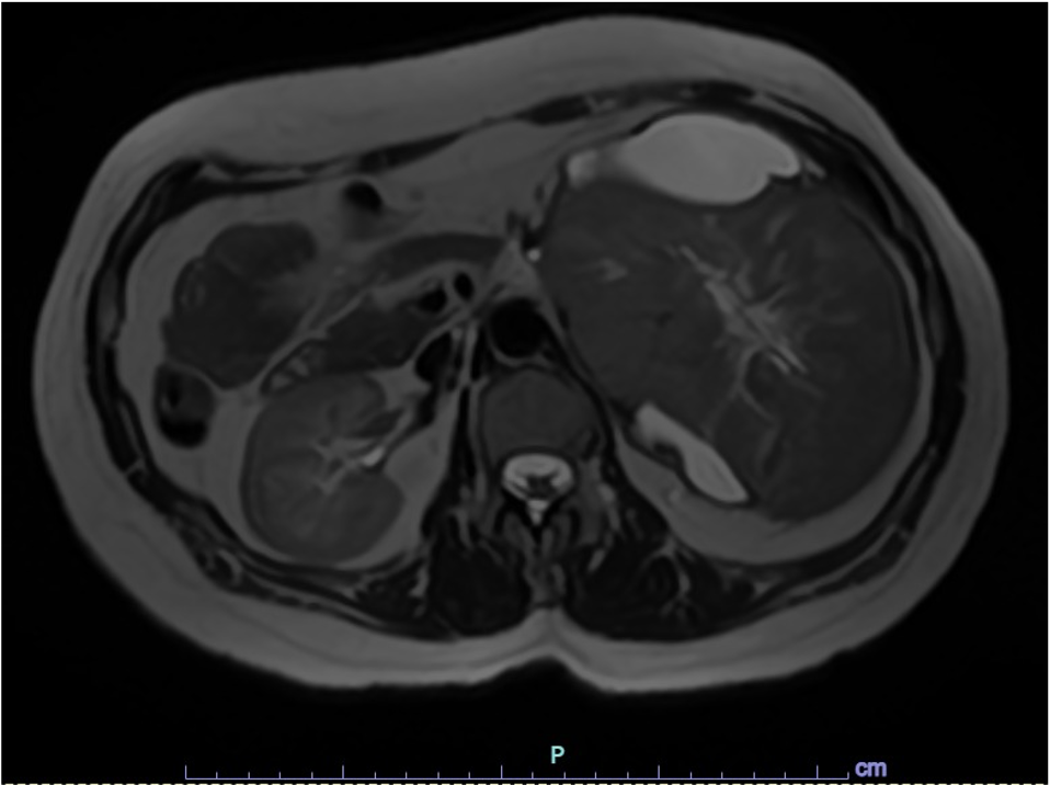
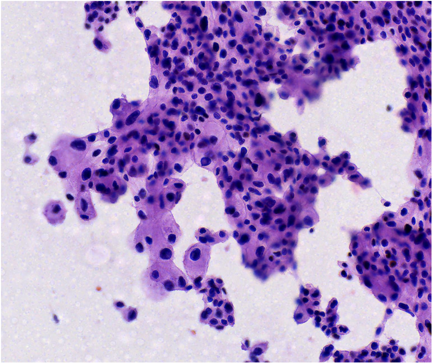
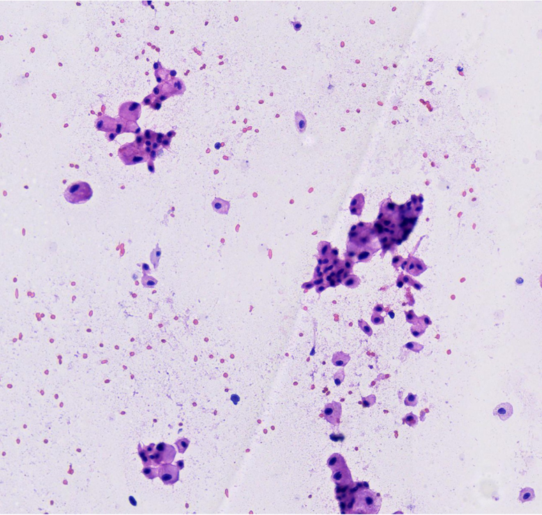
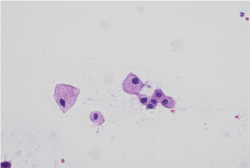
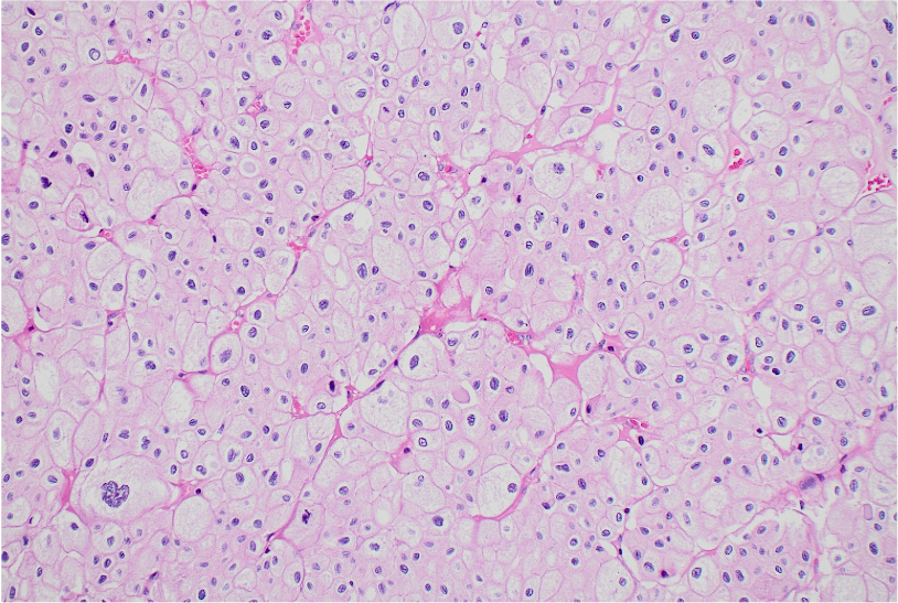
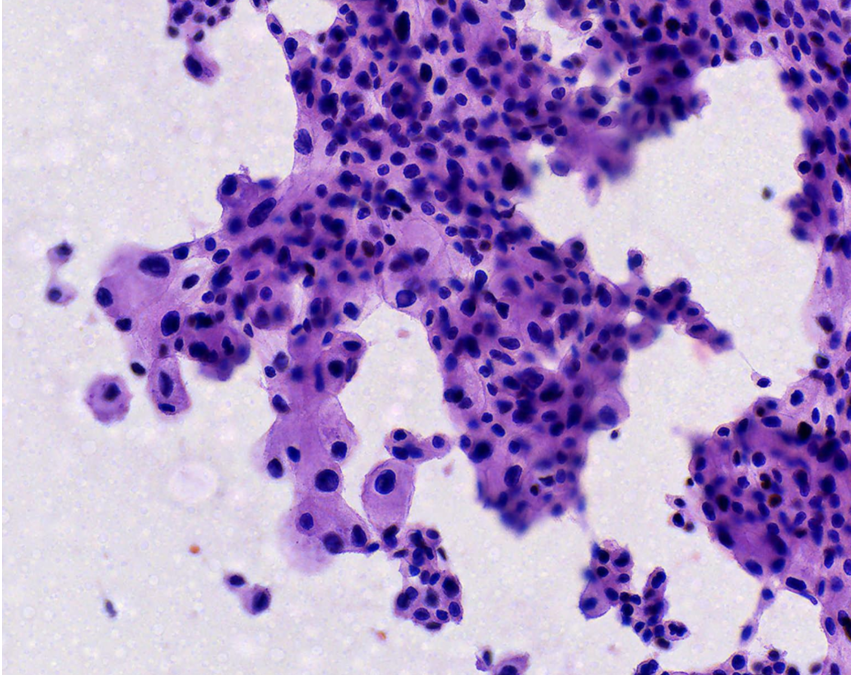
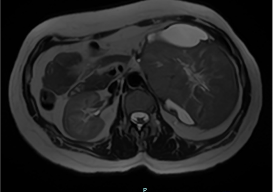
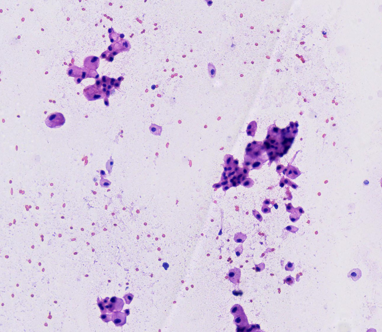
Paciente mujer de 43 años, G0-P000 con antecedentes de hipertensión arterial en tratamiento e historia familiar de cáncer (carcinoma de células de Merkel). Acude por presentar dolor punzante en flanco izquierdo de una semana de evolución. Al examen físico, se palpa masa abdominal móvil y dolorosa. La TC abdominal revela masa sólida ovoidea, de bordes definidos y aspecto encapsulado que mide 139 x 105 mm, asociada a áreas quísticas (Fig 1). Ante estos hallazgos, se realiza nefrectomía radical izquierda. Con la intención de tomar decisiones clínicas inmediatas, se realiza impronta del tumor renal en pieza operatoria observándose células tumorales poligonales con abundante citoplasma eosinofílico granular, membrana citoplasmática bien definida y bordes celulares acentuados. El resultado fue neoplasia de tipo oncocítica que favorece carcinoma cromófobo (Fig 2-5), confirmado histológicamente (Fig 6). Paciente evoluciona favorablemente.
Discusión:
El carcinoma cromófobo de células renales presenta rasgos citológicos característicos, como células poligonales con citoplasma abundante eosinofílico o reticular y membranas celulares bien definidas. Sin embargo, hallazgos clásicos como los halos perinucleares y núcleos arrugados pueden no ser tan evidentes, como en nuestro caso, generando solapamiento con el oncocitoma, principal diagnostico diferencial, que muestra mayor monotonía celular y citoplasma homogéneo, sin reticulación ni vacuolización.3
En la impronta citológica, los bordes bien delimitados permitieron orientar nuestro diagnóstico hacia un carcinoma cromófobo. Esta técnica constituye una herramienta diagnóstica útil en el intraoperatorio para toma de decisiones rápidas contribuyendo así a una adecuada planificación quirúrgica y manejo terapéutico del paciente.
Conclusión:
La citología por impronta, en determinadas situaciones, es útil en el diagnóstico rápido de carcinoma cromófobo.






Autores:
Milagros Abad-Licham1.2, Renato Astigueta-Abad1, Corina Castañeda-Urbina1,2, Juan Astigueta1,2
Facultad de Medicina Humana – Universidad Privada Antenor Orrego
Instituto Regional de Enfermedades Neoplásicas – IREN Norte
Trujillo – Perú
- PathologyOutlines.com. Chromophobe renal cell carcinoma [Internet]. PathologyOutlines.com; [citado 2026 Mar 19]. Disponible en: https://www.pathologyoutlines.com/topic/kidneytumormalignantrccchromo.html
- Pashai Fakhri M, Serth J, Bräsen JH, Ivanyi P, Kuczyk MA, Tezval H. Chromophobe renal cell carcinoma – a rare kidney cancer with limited therapy options: a narrative review. BMC Urology. 2025 Jun 2. Disponible en: https://pmc.ncbi.nlm.nih.gov/articles/PMC12131663/
- Lee W. Imprint cytology of the chromophobe renal cell carcinoma: Correlation with the histological and ultrastructural features. J Cytol [Internet]. 2011;28(2):77–80. Disponible en:
Archivo por año


