SOCIEDAD LATINOAMERICANA DE CITOPATOLOGIA
SLAC
En la Ciudad autónoma de Buenos Aires, Argentina, a los 23 días del mes de abril de 2017, con el objeto de constituir formalmente la SOCIEDAD LATINOAMERICANA DE CITOPATOLOGIA (SLAC), se revisó y se aprobó en Asamblea el presente Estatuto Social. La actual Sociedad observa como antecedente la fundación de la SOCIEDAD LATINO AMERICANA DE CITOLOGIA EXFOLIATIVA acaecida en la Ciudad de Viena, Austria, el día 31 de agosto de 1961 y sus continuadoras. Es así como reconocerá los premios otorgados por sus antecesoras y sus miembros pasan a ser miembros de la presente.
El objeto de la Sociedad es promover el conocimiento de la Citopatología, su divulgación y aplicación clínica entre los profesionales de la salud y el público en general.
Costo de Membresía
La SLAC comunica que los costos de membresía para nuestra sociedad son
Cuota Anual
Le recordamos la importancia de mantenerse al día con las cuotas anuales de la SLAC. Su contribuición es muy importante para la promoción y educación en citopatología en Latinoamérica.
El abono de la cuota anual está facilitada por PayPal.
Actualiza tus datos
Proyecto de Actualización de Datos y Campaña de Membresía
La Sociedad Latinoamericana de Citopatología (SLAC) invita a sus miembros y profesionales del área a participar en nuestro Proyecto de Actualización de Datos y Campaña de Membresía.
A través del formulario adjunto, podrá actualizar su información y regularizar su situación societaria. Si aún no es miembro, lo invitamos a unirse para disfrutar de beneficios exclusivos y participar en los sorteos de nuestros cursos.
¡Es muy sencillo! Clic en el enlace para completar su inscripción anual.
Link de la encuesta de actualización de datos:
Últimas
Noticias
Prevención del cáncer
Desde la Sociedad Latinoamericana de Citopatología, te invitamos a cuidar de ti misma y a priorizar tu salud: hazte tu chequeo citológico.
Inscríbete o renueva tu membresía y sigue creciendo con nosotros
Forma parte de los beneficios exclusivos de ser socio SLAC. Inscríbete o renueva tu membresía y sigue creciendo con nosotros.
Con profundo pesar informamos el sensible fallecimiento de Ramön Edgardo Riggo
Con el corazón profundamente comovido, los miembros de la Sociedad Latinoamericana de Citopatología (SLAC) nos unimos en un abrazo fraterno para acompanar a nuestra querida colega, amiga y guía, la Dra. Beatriz Salvagno, ante la partida al encuentro del Señor de su amado esposo, Ramón Edgardo Rizzo.
Eventos
Jornada Latinoamericana de Enfermedades Oculares y sus Anexos
Los invitamos a participar en la Jornada Latinoamericana de Enfermedades Oculares y sus Anexos
Tópicos Selectos: Tiroides – Integrando la morfología a la clínica e imagen
Save the date! Tópicos Selectos: Tiroides – Integrando la morfología a la clínica e imagen 01 de agosto en Asunción, Paraguay









SLAC abre su agenda 2026 con histórico evento en Cusco-Perú
La Sociedad Latinoamericana de Citopatología (SLAC) da inicio oficial a su Programación Académica 2026 con el primer evento realizado en Cusco, Perú.
LATINOAMERICA COMPARTE







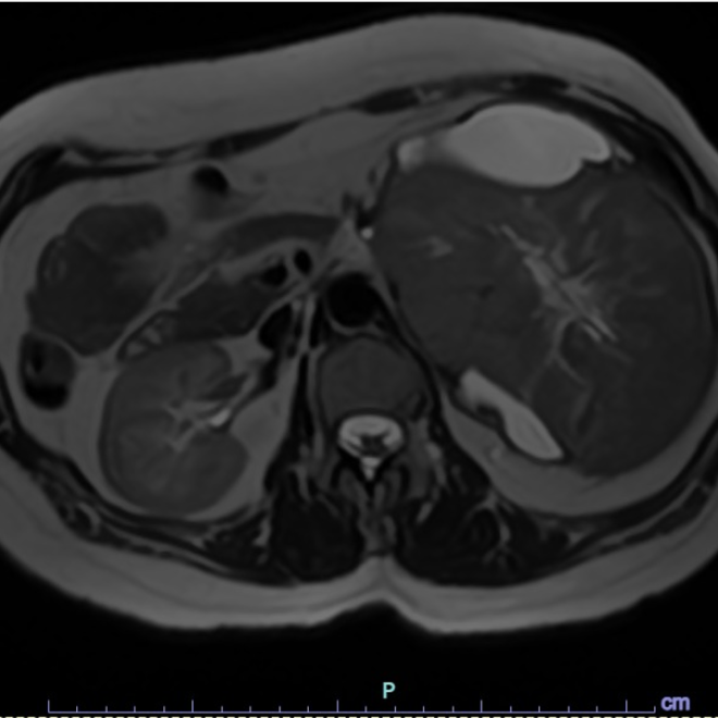
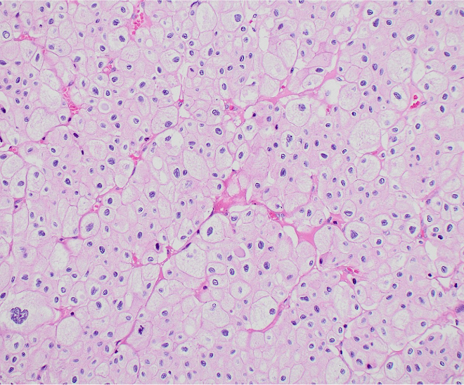
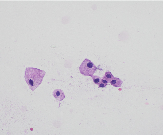
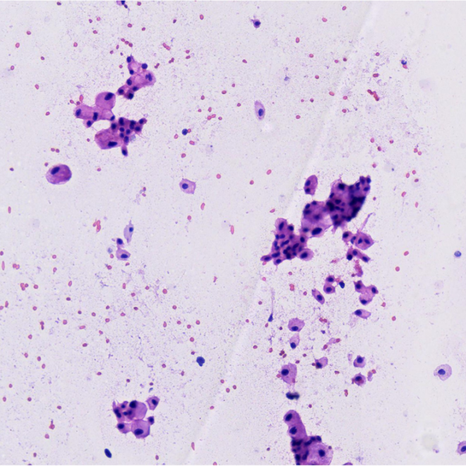
Carcinoma cromófobo renal: reporte de un caso poco frecuente con hallazgos citológicos
Introducción: El carcinoma cromófobo es un raro subtipo de carcinoma renal que representa la forma más común de carcinoma en mujeres jóvenes con un promedio de edad de 59 años (rango 17-92).




Caso Anquilostomiasis. Diagnóstico por lavado bronquioloalveolar
Caso clínico: Masculino 24 años VIH positivo, 9 días previos a su internamiento inició con dolor abdominal de tipo cólico, difuso, diarrea, astenia y adinamia






Lesiones Oncociticas Tiroideas a considerar en BACAF
HISTORIA CLINICA Mujer de 66 Años con Hipotiroidismo. Ecografía de Cuello muestra Nódulo Tiroideo izquierdo. TIRADS 4B. Se realiza BACAF de tiroides




