Carcinoma de Células Claras Endometrial Diagnosticado por Citología Cervical: Un Reto Diagnóstico
Introducción:
La incidencia y la morbimortalidad del cáncer de cuello uterino han disminuido en Latinoamérica gracias a los programas de detección precoz con la prueba de Papanicolaou. En contraste, el cáncer de endometrio, que afecta principalmente a mujeres posmenopáusicas y suele manifestarse como sangrado anormal, ha ganado relevancia. Sin embargo, la citología cervical tiene limitaciones en su diagnóstico, ya que solo evalúa el cuello uterino y no el endometrio. La detección de células endometriales malignas en citología cervical suele indicar enfermedad avanzada. Este relato describe un caso poco común de cáncer de endometrio, inicialmente malinterpretado como carcinoma escamoso no queratinizante en la citología cervical convencional.
Descripción del caso:
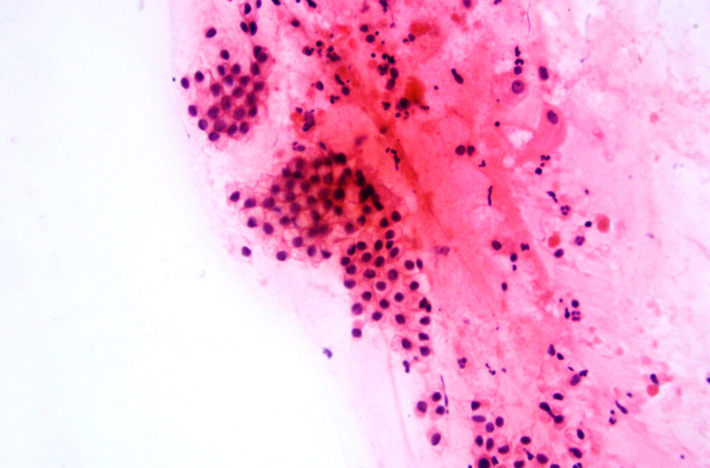
Mujer de 64 años, sin antecedentes clínicos relevantes. La citología cervical convencional reveló células atípicas aisladas o en pequeños grupos planos, con núcleos hipertróficos, hipercromáticos, cromatina densa, ocasionalmente con nucléolos, y citoplasma mal definido por artefactos de fijación. Se observaron figuras de mitosis y un fondo necrohemorrágico, interpretándose como carcinoma escamoso invasor no queratinizante.
La colposcopia con biopsias aleatorias del cuello uterino mostró solo atrofia, sin evidencias de la zona de transformación escamocolumnar. Posteriormente, una biopsia guiada por videohisteroscopía reveló un carcinoma pobremente diferenciado, con sábanas de grandes células de citoplasma claro, núcleos atípicos y pleomórficos, y extensas áreas de necrosis. Se planteó inicialmente carcinoma escamoso indiferenciado. Sin embargo, las células neoplásicas fueron positivas para CK7, vimentina y NAPSIN A, y negativas para p63, receptores hormonales y p16. Estos hallazgos permitieron el diagnóstico de adenocarcinoma endometrial de células claras (pT2, pN0). La revisión retrospectiva del frotis cervical reveló células con citoplasma variando de opaco a finamente vacuolado, característico del adenocarcinoma de células claras.
Discusión:
La mayoría de los cánceres de endometrio son adenocarcinomas endometrioides, con células aisladas o en pequeños grupos compactos, con atipias discretas y diferenciación moderada. En contraste, el carcinoma de células claras es infrecuente, representando entre el 1% y el 6% de los casos. Su diagnóstico es fundamental para la planificación terapéutica. Suele diagnosticarse entre los 65 y 69 años, y afecta a mujeres menos propensas a obesidad, diabetes y terapia hormonal. Presenta tasas de supervivencia a 5 y 10 años del 43% y 39%, respectivamente, con mal pronóstico en casos de invasión miometrial y vascular.
Las células del carcinoma endometrial de células claras son voluminosas y pleomórficas, con núcleos desnudos en un fondo necrótico. La diferenciación con carcinoma escamoso no queratinizante puede ser difícil solo con citología, requiriendo inmunohistoquímica para su confirmación.
Conclusión: Este caso resalta la importancia de una evaluación integral y el uso de estudios complementarios en el diagnóstico diferencial del cáncer de endometrio, evitando errores diagnósticos en citología cervical convencional.
Wolinska WH, Melamed MR, de las Heras P, Delgado E. Clear cell endometrial adenocarcinoma in a young woman: report of a case detected by cytology. Gynecol Oncol. 1979 Aug;8(1):119-20. doi: 10.1016/0090-8258(79)90017-9. PMID: 456933.
Abdulfatah E, Sakr S, Thomas S, Al-Wahab Z, Mutch DG, Dowdy S, Bandyopadhyay S, Munkarah A, Elshaikh M, Morris R, Ali-Fehmi R. Clear Cell Carcinoma of the Endometrium: Evaluation of Prognostic Parameters in a Multi-institutional Cohort of 165 Cases. Int J Gynecol Cancer. 2017 Oct;27(8):1714-1721. doi: 10.1097/IGC.0000000000001050. PMID: 28945214; PMCID: PMC6152831.
Lax S. Vorläuferläsionen des Endometriumkarzinoms: Diagnostik und Molekularpathologie [Precursor lesions of endometrial carcinoma: diagnostic approach and molecular pathology]. Pathologe. 2011 Nov;32 Suppl 2:255-64. German. doi: 10.1007/s00292-011-1514-3. PMID: 22033684.
Thomas M, Mariani A, Wright JD, Madarek EO, Powell MA, Mutch DG, Podratz KC, Dowdy SC. Surgical management and adjuvant therapy for patients with uterine clear cell carcinoma: a multi-institutional review. Gynecol Oncol. 2008 Feb;108(2):293-7. doi: 10.1016/j.ygyno.2007.11.008. Epub 2007 Dec 21. PMID: 18096208.
Maria Clara Zacharias Salomão
Bruno de Carvalho Dornelas
Instituto Master de Ensino Presidente Antônio Carlos – IMEPAC Centro Universitário
Brasil
Archivo por año




